후 치료 케이스
- 여드름
- 피부질환
- 다이어트
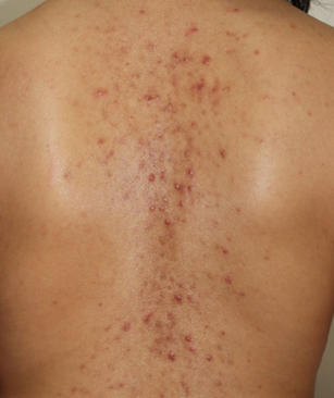
-
25년 01월 25일
-
25년 07월 30일
해당 사진은 수정없는 실제 치료 사진입니다.
환자의 치료결과는 환자의 상태, 치료방법 등에 따라 차이가 발생할 수 있습니다.
환자의 치료결과는 환자의 상태, 치료방법 등에 따라 차이가 발생할 수 있습니다.
- 심한 화농성 여드름 응집된 여드름
- [여드름]
-
2020년 06월 25일
-
2020년 09월 25일
해당 사진은 수정없는 실제 치료 사진입니다.
환자의 치료결과는 환자의 상태, 치료방법 등에 따라 차이가 발생할 수 있습니다.
환자의 치료결과는 환자의 상태, 치료방법 등에 따라 차이가 발생할 수 있습니다.
- 심한 화농성 여드름 치료 3개월
- [여드름]













