후 한의원 소개
전하고 싶은 진심
치료에 담다
후 청정 한약재
후 소식
여드름
여드름 · 모낭염
여드름자국
여드름흉터
바디케어
바디(등/가슴)여드름
바디(팔/다리)모공각화증
다이어트
프리미엄 미감탕
비움탕
다요스틱
다요정
미감에스
피부질환
편평사마귀
점제거
지루성 피부염
주사피부염.홍조
한포진
건선
아토피
지루성 두피염
탈모
안티에이징
리프팅
모공축소
성형 후 부종
생활건강진료
보약
교통사고
생리통
웨딩패키지
지점소개
치료 전후
후한의원
강남
예약
이달의 혜택
건선
면역력 회복에 중점을 두어 치료해야 합니다
후 치료 케이스
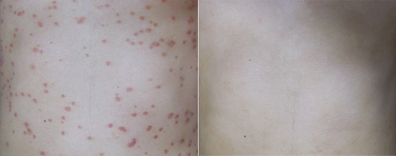
치료 전 18년 6월 11일
치료 후 18년 8월 3일
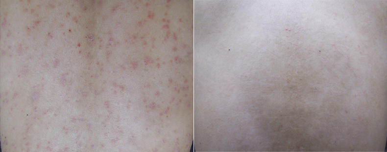
치료 전 20년 7월 18일
치료 후 20년 10월 31일
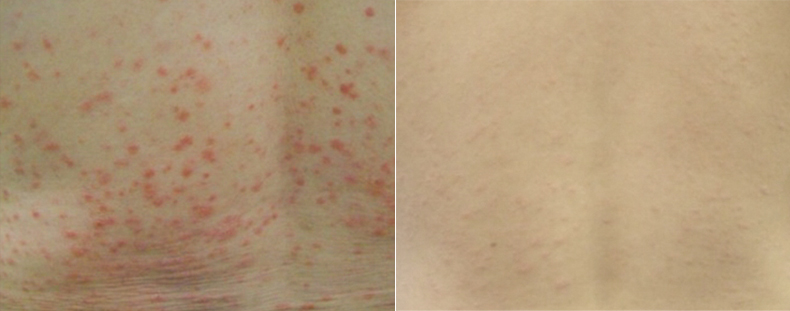
치료 전 21년 2월 3일
치료 후 21년 5월 6일
치료 전 22년 6월 16일
치료 후 22년 9월 2일
치료 전 18년 11월 19일
치료 후 19년 2월 8일
치료 전 20년 3월 4일
치료 후 20년 6월 9일
치료 전 21년 6월 15일
치료 후 21년 9월 29일
치료 전 20년 9월 17일
치료 후 20년 12월 30일
개인에 따라 시술의 효과는 차이가 있을 수 있으며, 부작용이 발생할 수 있습니다. 의료진과 충분한 상담 후 시술을 진행하셔야 합니다.
인체 내 정상적인 대사기능의 실조로 혈열, 혈허, 혈조, 어혈 등 체내 노폐물이 증가하고
피부의 정상적인 면역기능이 손상되어 진피의 무세균성 염증 및
표피의 과증식이 반복되는 현상입니다
반복적으로 발생하는 건선증상 초기에 증상이 나타났을 때 빨리 치료하는 것이 좋습니다
두피 건선
두피건선은 이마, 두피 경계, 두피 속(정수리) 부분에
주로 나타나며 일반적인 두피질환 보다 많은 열,
과잉된 독소로 인해 발생합니다
넓은 스펙트럼의 피부 치료 공식
당신에게 정확한 피부 주파수를 우리는 맞춰 나갑니다
울창한 숲이 될때 까지,
1
13
12
3
01234
0
1234
5
장부의 불균형 개선
기혈 순환 개선
건선의 증상은 피부에 나타나지만 근본 원인은 우리 몸 내부에 있으며
다양한 질병을 동반하는 경우가 매우 흔하기 때문에 반드시 내 몸부터 치료해 아합니다
아날로그 마인드와
검증된 하이테크니션으로 만들어진
후,피부치료
한의학과 현대의학의 만남
좋은 것만 꼭 담은 주목할 만한 1:1 솔루션
한약 처방 [전문한의약품]
의료진의 1:1 진단후 처방해 드리는 약처방은 기본적으로
홍반성 구진을 완화하고 피부 면역력을 높힘과 동시에
기초체온의 불균형을 바로잡아 피부장벽의 안정에 기여합니다
검사와 상담을 통해 얻어진 환자분의 개인적 조건에 따라
최종적인 처방 약재 구성이 완성 됩니다
침치료(정안침,약침,에어아큐,매선)
상태와 증상에 따라 침치료를
복합적으로 병행해 무너진 피부 장벽을 회복시킵니다
광선 치료
지속적인 홍반성 구진 상태로
지친 피부의 진정과 재생을 돕는 광선치료를 병행합니다
A세럼/S세럼/백화자운고
피부면역력을 회복시키고 항염작용이 뛰어난
후한의원 전용 세럼/연고 처방입니다
약물 도포
피부 진정효과가 큰 생약성분의 추출물로
환부에 도포 치료를 시행합니다
후 한의원의 기록
차곡 차곡 견고하게 쌓은 하루가 만들어낸 22년의 바른 기록
후 한의원 탕전원
다양한 약재와 1:1맞춤 한약을 위한 탕전원을 운영합니다
후 탕전원 한의사, 한약사 상주
한의사와 한약사가 항상 상주하고 있으며 안전 조제시스템
(SAFE CHECK)을 특징으로 하고 있습니다
특허받은 엠톤(M-TON)
22년 후의 집요한 피부 연구의 결과물
후 한의원에서 개발하여 특허 획득한 엠톤을 타 한의원에도
공유/공급하고 있습니다
일회용 수동 매직 스탬프 개발
시작부터 믿을 수 있는 시스템! 철저한 위생 관리를 위해
일회용 매직 스탬프를 자체 개발하였습니다
트랜스 테라피 개발
기존 흉터 치료의 한계점 극복한 후 한의원만의 치료법 개발
원장이 직접 치료하는 압출과 시술
치료 중 예상 가능한 모든 변수를 제어
높은 수준의 치료 목표치 도달을 위해 여러분의 모든
치료 과정을 우리가 함께 합니다
후 한의원의 치료공식
1부터 시작하는 치료는 없습니다
모든 치료는 각기 다른 방법으로 진행합니다
다양한 스펙트럼을 가진 사람들에 대한 우리의 치료 공식입니다
처음 만나는
내몸과 피부에 맞춘 후 한의원
피부, 다이어트, 질환에 대한 고민
후 한의원이 도와드릴까요?
QUICK